Root entry zone del trigemino: perché è importante nella nevralgia del trigemino
Nevralgia del trigemino · Anatomia clinica

Root entry zone del trigemino

La root entry zone è il tratto in cui il nervo trigemino entra nel tronco encefalico. È una zona piccola ma clinicamente fondamentale, perché proprio qui il nervo risulta più vulnerabile agli effetti di un conflitto neurovascolare e alla genesi della nevralgia del trigemino classica.

Root entry zone del trigemino e conflitto neurovascolare alla risonanza magnetica

La root entry zone rappresenta il punto di passaggio tra il nervo trigemino e il tronco encefalico: è qui che un contatto pulsatile con un vaso può assumere maggiore rilevanza clinica.

Che cos’è la root entry zone

La root entry zone, o zona di ingresso della radice, è il segmento in cui le fibre del trigemino raggiungono il ponte e si inseriscono nel tronco encefalico. Dal punto di vista anatomico è una regione di transizione molto delicata, perché segna il passaggio tra il tratto cisternale del nervo e la sua connessione con le strutture centrali.

In questa piccola area si concentrano caratteristiche microanatomiche che aiutano a comprendere perché la nevralgia del trigemino colpisca alcuni pazienti in modo così tipico, con dolore a scossa, attacchi brevissimi e trigger molto precisi.

  • È il punto in cui il trigemino entra nel tronco encefalico.
  • È una zona di transizione strutturalmente vulnerabile.
  • Ha un ruolo centrale nella fisiopatologia del conflitto neurovascolare.
  • È il riferimento principale nella lettura di molte risonanze dedicate al trigemino.

Perché è così importante nella nevralgia del trigemino

Non tutti i contatti tra un vaso e il nervo trigemino hanno lo stesso significato. Un rapporto di vicinanza lungo il decorso cisternale del nervo può essere anche incidentale. Quando però il contatto si localizza alla root entry zone, soprattutto se determina impronta, dislocazione o deformazione del nervo, il suo valore clinico cambia.

È proprio in questa sede che il nervo sembra più sensibile agli effetti di una compressione pulsatile cronica. Questo aiuta a spiegare perché molti pazienti con nevralgia del trigemino classica presentino un conflitto significativo proprio in prossimità della root entry zone.

  • La sede del conflitto conta quanto, e spesso più, del semplice contatto.
  • La root entry zone è il punto più rilevante nella correlazione clinico-radiologica.
  • La presenza di una compressione in questa sede rafforza l’ipotesi di forma classica.
  • Il suo studio è essenziale nella selezione dei candidati alla decompressione microvascolare.

La zona di transizione mielinica

Uno dei motivi per cui la root entry zone è così vulnerabile riguarda la cosiddetta zona di transizione mielinica. In questa sede si incontrano territori con caratteristiche istologiche differenti, e questa particolarità rende il nervo più suscettibile agli effetti della compressione ripetuta da parte di un vaso.

Dal punto di vista clinico, questo concetto è molto importante perché collega l’anatomia fine alla sintomatologia: la sofferenza di questa zona può favorire fenomeni di disorganizzazione della conduzione, scariche anomale e meccanismi di trasmissione aberrante del dolore.

La root entry zone non è solo un riferimento anatomico.

È una regione biologicamente più vulnerabile, e per questo clinicamente decisiva.

Come appare alla risonanza

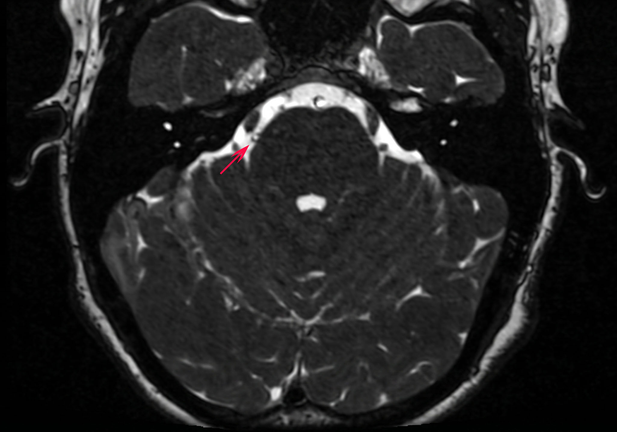
Nello studio RM dedicato al trigemino, la root entry zone è il punto che merita maggiore attenzione quando si cerca un possibile conflitto neurovascolare. Le sequenze ad alta risoluzione permettono di valutare se un’ansa arteriosa o, meno spesso, una struttura venosa si trovi in rapporto stretto con il nervo proprio in questa sede.

Non basta però vedere un vaso vicino al trigemino: conta la sede precisa del rapporto, la concordanza con il lato del dolore e l’eventuale presenza di una deformazione del nervo. È qui che la semplice descrizione radiologica deve trasformarsi in interpretazione clinica.

Risonanza magnetica del trigemino con attenzione alla root entry zone
Nello studio RM ad alta risoluzione la root entry zone è il tratto più importante da analizzare quando si sospetta un conflitto neurovascolare.
Trattografia del nervo trigemino alla root entry zone (REZ) con ricostruzione DTI su risonanza magnetica, visualizzazione delle fibre nel punto di ingresso nel tronco encefalico
Ricostruzione trattografica (DTI) del nervo trigemino alla root entry zone (REZ): le fibre nervose sono visualizzate nel punto di ingresso nel tronco encefalico, sede critica per l’insorgenza della nevralgia del trigemino e per il conflitto neurovascolare.

Perché conta nella chirurgia

La root entry zone ha un ruolo centrale anche nella chirurgia della nevralgia del trigemino, in particolare nella decompressione microvascolare. Durante l’intervento, l’obiettivo non è semplicemente “toccare il nervo”, ma identificare con precisione il punto in cui il vaso esercita una compressione clinicamente rilevante, spesso proprio in prossimità della zona di ingresso della radice.

Comprendere bene questa regione aiuta anche a spiegare perché alcuni pazienti con risonanza suggestiva e sintomi tipici possano essere buoni candidati alla chirurgia, mentre altri con contatti meno significativi o in sedi meno rilevanti richiedano un ragionamento più prudente.

  • La root entry zone è spesso il bersaglio anatomico più importante nella MVD.
  • La sua valutazione aiuta a selezionare meglio i candidati al trattamento.
  • Spiega la differenza tra semplice contatto e conflitto clinicamente significativo.
  • Rafforza il collegamento tra imaging, anatomia e decisione terapeutica.

Root entry zone e forme meno tipiche

Nelle forme classiche di nevralgia del trigemino il ruolo della root entry zone è particolarmente forte. Nelle forme meno tipiche, con dolore più continuo o con caratteristiche miste, il suo significato può essere meno lineare. Anche in questi casi, però, la sua valutazione resta utile per capire se esista una base anatomica compatibile con un conflitto significativo oppure se sia necessario ampliare la diagnosi differenziale.

Questo raccorda bene la lettura anatomica con le pagine sulla diagnosi della nevralgia del trigemino, sull’imaging e sulla nevralgia trigeminale di tipo 2.

Domande frequenti sulla root entry zone del trigemino

Che cos’è la root entry zone del trigemino?

È il tratto in cui il nervo trigemino entra nel tronco encefalico. È una regione anatomica molto importante perché rappresenta una zona di transizione particolarmente sensibile agli effetti di un conflitto neurovascolare.

Perché la root entry zone è importante nella nevralgia del trigemino?

Perché molti conflitti clinicamente significativi si localizzano proprio in questa sede. Un contatto tra vaso e nervo alla root entry zone ha in genere un peso maggiore rispetto a un contatto più periferico lungo il decorso cisternale.

La presenza di un vaso vicino alla root entry zone significa sempre nevralgia?

No. Anche in questa sede il reperto va interpretato insieme ai sintomi. Conta la concordanza con il lato del dolore, la qualità del contatto e l’eventuale deformazione del nervo.

La root entry zone si vede bene alla risonanza?

Con una risonanza magnetica ad alta risoluzione e sequenze dedicate al trigemino, spesso sì. Tuttavia la qualità dell’esame e l’esperienza nell’interpretazione restano determinanti.

Perché è rilevante per la decompressione microvascolare?

Perché nella chirurgia della nevralgia del trigemino è spesso proprio in questa zona che si identifica il conflitto più importante. La root entry zone aiuta quindi a collegare anatomia, imaging e scelta del trattamento.

Se non c’è un conflitto evidente alla root entry zone, la nevralgia è esclusa?

No. La diagnosi resta clinica. L’assenza di un reperto chiaramente dimostrativo alla risonanza non esclude di per sé la nevralgia del trigemino, ma richiede una valutazione specialistica più attenta dell’insieme dei dati.

Conclusione

La root entry zone del trigemino è una piccola area anatomica con un grande peso clinico. Comprenderne il significato aiuta a leggere meglio la risonanza, a distinguere un semplice contatto da un conflitto più rilevante e a orientare in modo più preciso il percorso terapeutico.

  • È la sede più importante nella fisiopatologia della nevralgia classica.
  • Ha un ruolo chiave nell’interpretazione dell’imaging.
  • È centrale nella selezione dei pazienti per la chirurgia.

È proprio l’integrazione tra anatomia, clinica e imaging che permette di trasformare un reperto tecnico in una decisione realmente utile per il paziente.